Pukra (Kovai Heart Foundation)

Pukra (Kovai Heart Foundation) is your trusted heart care partner in our Coimbatore city.
Our Vision is to be a renowned heart care foundation in providing quality heart care to meet the aspirations of all sections of our people living in western region of Tamil Nadu.

Read More

Pukra (Kovai Heart Foundation)

Pukra (Kovai Heart Foundation) is your trusted heart care partner in our Coimbatore city.
Our Motto is to challenge the 21st centuries most dreadful diseases are I) Heart Attacks II) Diabetes III) Hypertension IV) Obesity

Read More

Pukra (Kovai Heart Foundation)

Pukra (Kovai Heart Foundation) is your trusted heart care partner in our Coimbatore city.
Our Commitment is to provide integrated and Holistic Heartcare for every individual through advanced scientific technologies.

Read More

Why Choose us

Your health is our priority

98% Success Rate
Professional Staff
Experienced Doctors
24/7 Emergency Care
10.30 AM - Walk In
11.00 AM - Walk Out

Our Facilities

Master Heart Check-up

Heart Attack is for more predictable than you think.
Those who have completed 20 years of age, should undergo master heart check-up…

Master Diabetic & Heart Check-up

Diabetes is two to four times more common among Indians than other population.
Nearly half of all diabetes among Indians remains undiagnosed.

Coronary Angiogram

Angiogram is the gold standard for diagnosis of heart disease due to block. An easily detectable dye is injected into the artery through a catheter.

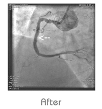
Coronary Angioplasty

A special catheter with small balloon at the tip is used to open up the diseased artery without entailing actual surgery.

Testimonials

"Nice hospital. Treatment is very good at affordable cost. I highly recommend this hospital"

Logeshkumar Jayabal

"The best service provider to the people"

Kannan

"Keep up the excellent work."

Saravanan

Get in touch with us